top of page
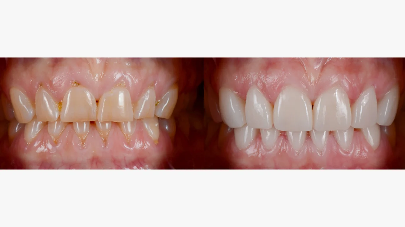
Dental Veneers
Perfecting Smiles with Veneers
1 hr1 hDental Home Clinic Dentist Of hurghada
Service Description
Transform your smile with dental veneers, custom-made to enhance the shape and color of your teeth. Achieve a stunning, natural-looking result and regain your confidence. in the same day






Contact Details
Hurghada
01155512031
info@dentisthurghada.com
bottom of page


